Dr. Verma is a highly experienced Dental Surgeon with over 30 years of expertise in providing comprehensive dental care. They specialize in placing high-quality dental implants, oral and maxillofacial surgery, cosmetic restorations, and implantology. Dr. Verma is known for his patient-centric approach, precision in surgical techniques, and dedication to maintaining the highest standards of dental care.
Advanced surgical apparatus – they are renowned for their precise procedures and patient carein dental surgeries, especially wisdom tooth extractions and dental implants.
We prioritize patient comfort with gentle techniques, pain-free procedures, and a calm clinic atmosphere.
Our clinic provides preventive, restorative, cosmetic, and surgical dental solutions tailored to all age groups.
Specialist in dental implants, crowns, bridges, and full-mouth rehabilitation with precision and care.
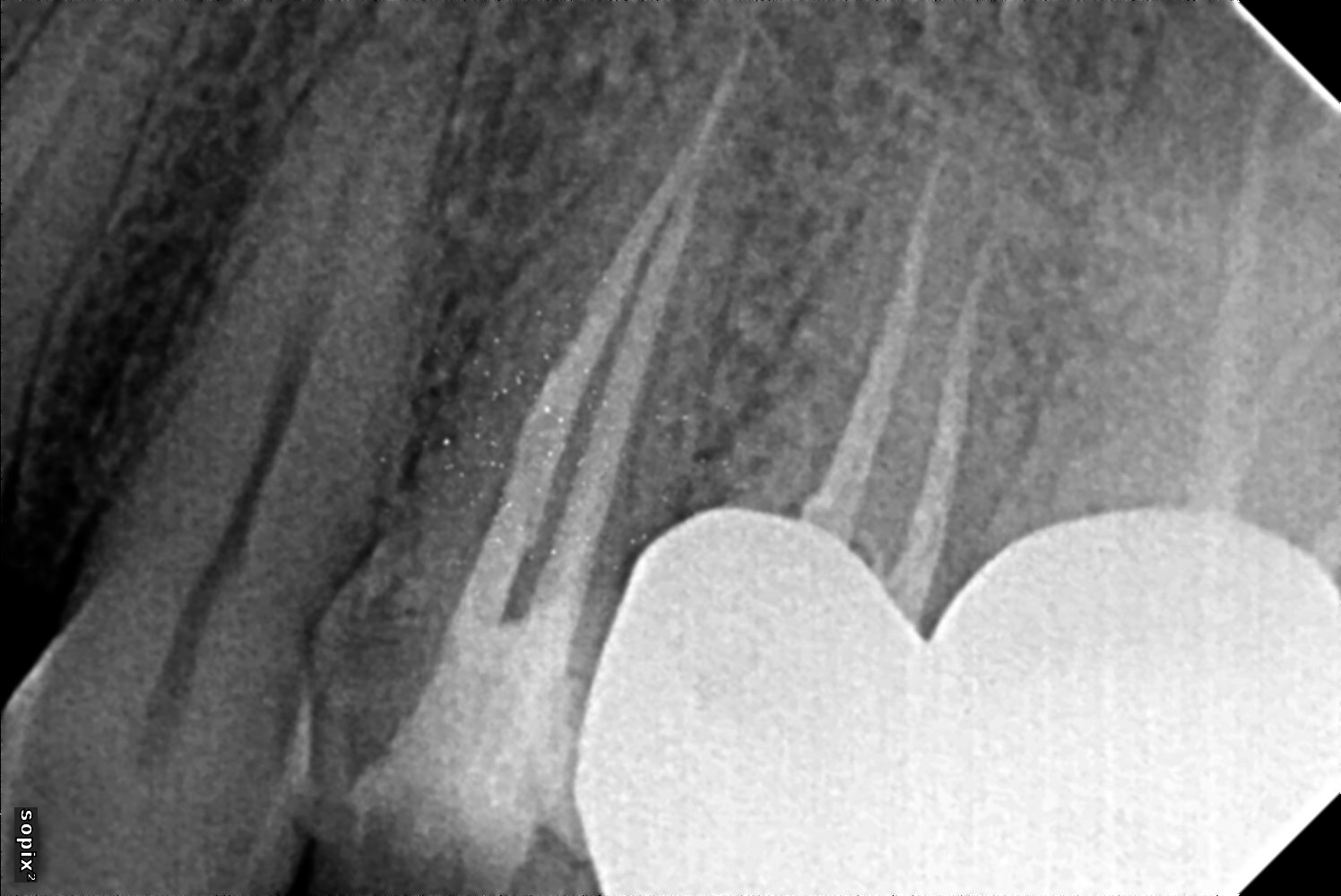
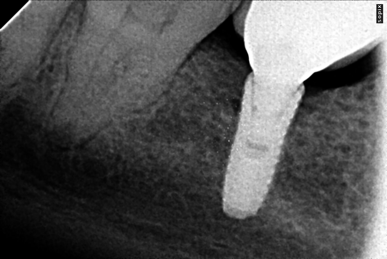
State-of-the-art technology for safe, reliable, and long-lasting dental implant procedures.
A qualified, compassionate team that ensures your experience is comfortable and patient-focused.
At Dr. Verma's Dental Surgery Clinic, we are committed to providing advanced, personalized dental care in a professional and patient-friendly environment. our clinic offers precision-driven treatments backed by 30+ years of experience and state-of-the-art technology.
Explore glimpses of our modern infrastructure, state-of-the-art equipment, and patient-centric environment at Dr. Verma's Dental Surgery Clinic.
Dr. Verma's Dental Surgery Clinic provides comprehensive dental care including Dental Implants, Crowns & Bridges, Full Mouth Rehabilitation, Root Canal Treatment, Dentures, Smile Designing, Braces & Aligners, Clear Aligners, Cosmetic Dentistry, Tooth Extractions, and Preventive Dental Care.
Dr. Verma's Dental Surgery Clinic is open during the following hours:
Monday to Wednesday, Friday to Saturday: 11:00 AM to 08:00 PM
Thursday: 11:00 AM to 06:00 PM
Sunday: 11:00 AM to 04:00 PM
We recommend booking appointments in advance to ensure your preferred time slot.
You can contact us at the following address:
Clinic Address:
Delhi Gate Rd, Professors Colony,
Civil Lines, Agra, Uttar Pradesh 282002
Phone: +91 9870996729
Email: dranilvermadentalclinic@gmail.com